A series of diseases affect the mammary glands that are related to the development of abnormal cells and also to tissue alterations. They can happen due to infections or can even be caused by breastfeeding.
Breast diseases
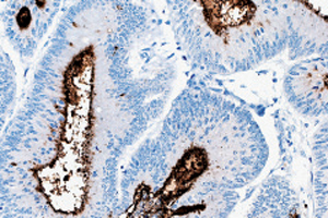
– Breast cancer: it is produced when some mammary cells grow abnormally, affecting the cells that cover the tubes where milk passes through, as well as the areas made up of secretor glands. There are some risk factors, such as prior family history, the use of oral birth control and hormone replacement therapy.
– Mastitis: it is the inflammation of the breasts. It commonly affects women who are breastfeeding (puerperal mastitis), because one of the ducts where milk passes through gets clogged or because the skin of the nipple develops cracks, making it easy for bacteria to get in and infect the mammary tissue. It causes the breasts to swell, get red and harden. It is a very painful disease because the infection creates puss and it must be drained from the breast.
