Los tejidos son grupos de células que trabajan juntas para realizar una función específica en el cuerpo.
Estos conforman uno de los niveles de organización biológica que se encuentra entre el celular y el de los órganos.
En concreto, los tejidos son aglomeraciones de células con una estructura determinada, que se disponen ordenadamente para cumplir una misma tarea.
Las células que conforman determinado tejido pueden y suelen ser diferentes morfológica (forma y tamaño) y fisiológicamente (función específica).
Sin embargo, lo que caracteriza al tejido es que cada uno de los tipos de células que lo componen cumple un papel indispensable para que este, en conjunto, pueda realizar su función.
Algunos tejidos se especializan en transportar materiales, otros, en contraerse para producir movimiento o circulación y otros, en secretar hormonas que regulan los procesos metabólicos.

Tipos de tejidos
Según su función y características morfológicas, existen diversos tipos de tejidos, que se agrupan en las siguientes categorías:
- Tejido epitelial: es el que reviste las superficies externas (piel) e internas (mucosas) del cuerpo. En este tipo de tejidos, las células están estrechamente unidas formando láminas. Entre las funciones que cumplen los epitelios están: servir como barrera de protección corporal, transportar material a lo largo de su superficie, absorber y sintetizar distintas sustancias útiles y contener terminaciones nerviosas sensitivas.
- Tejido conjuntivo o conectivo: los epitelios no son capaces de mantenerse por sí solos y necesitan de otros tejidos que actúan de sostén, estos son los tejidos conjuntivos y entre ellos se incluyen los tejidos sanguíneo, adiposo, cartilaginoso y óseo.
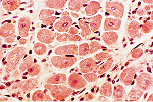
- Tejido muscular: está compuesto por numerosas células especializadas conocidas como fibras musculares. El tejido muscular es capaz de modificar su forma activamente, permitiendo la contracción y los movimientos.
- Tejido nervioso: en él se presentan dos tipos de células, las nerviosas (o neuronas) y las gliales. Este tejido dirige el correcto y puntual funcionamiento de todos los órganos del cuerpo.

Presentan la teoría de la relatividad general de Einstein